Features of the Diagnosis of Unilateral Narrowing of the Upper Alveolar Arch and Modeling of Complete Removable Prostheses
- Authors: Shkarin V.V.1, Dmitrienko T.D.1, Yukhnov I.N.1
-
Affiliations:
- Volgograd State Medical University
- Issue: Vol 21, No 4 (2024)
- Pages: 41-47
- Section: Articles
- Published: 15.12.2024
- URL: https://freezetech.ru/2658-4514/article/view/646377
- DOI: https://doi.org/10.19163/2658-4514-2024-21-4-41-47
- ID: 646377
Cite item
Full Text
Abstract
The variability in the shape of the alveolar arches is due to numerous etiological factors, which predetermines the methods of diagnosis and the choice of methods for modeling artificial dental arches in full removable dentures. Purpose. To determine the features of the diagnosis of unilateral narrowing of the superior alveolar arch and modeling of complete removable prostheses. Material and methods. The materials of the study are presented by a clinical case of a patient with unilateral narrowing of the upper jaw with the optimal size of the inferior alveolar arch. For diagnostics, a method for constructing geometric figures on scaled photographs of models of edentulous jaws is proposed. In particular, the parameters of the diagnostic triangle and the semi-ellipse made it possible to assess the deviation of the actual dimensions from the calculated indicators, taking into account the individuality of the dimensions of the gnathic part of the face. Results and discussion. The features of the shape and size of the alveolar arches in unilateral narrowing of the upper jaw determined the placement of artificial teeth along the midline of the alveolar ridge. At the same time, the shape of the dental arch did not correspond to the ellipse. The chewing teeth on the side of the narrowing of the upper jaw closed with the reverse overlap and the torchial values of the molars of the right and left sides were different. Conclusion. The results of the study made it possible to evaluate the modeling of artificial cross-occlusion with a change in the torque values of the molars on the side of the narrowing as an optimal occlusal equilibrium that provides a functional optimum of the masticatory apparatus in the complete absence of teeth in combination with unilateral narrowing of the upper jaw.
Full Text
Форма и размеры альвеолярных дуг у людей с полным отсутствием зубов весьма вариабельны и определяются многочисленными факторами, включая индивидуальность гнатической части лица и конституциональные особенности [1]. В данной работе авторами представлены варианты параметров альвеолярных дуг, коррелирующие с размерами краниофациального комплекса.
В то же время исследователями отмечено, что альвеолярные дуги являются составной частью зубоальвеолярного комплекса и включают в себя зубные, альвеолярные и апикальные составляющие.
Специалистами представлены основные формы и размеры зубочелюстных дуг при физиологии прикуса [2]. В представленной работе выделены зубочелюстные дуги с физиологической протрузией и ретрузией зубов, обеспечивающих оптимальный окклюзионный статус.
С целью определения типологических особенностей зубочелюстных дуг, включая альвеолярный компонент, предложены многочисленные методы биометрии [3, 4]. Приведены данные о половом диморфизме зубов и зубочелюстного комплекса [5].
Одним из важных биометрических показателей является трансверсальный размер, позволяющий определить степень сужения зубочелюстных дуг [6]. Авторы отметили взаимосвязь указанного размера с глубиной дуги, что определяло гнатический тип зубочелюстных дуг, это было необходимо при выборе тактики ортодонтического и протетического лечения.
В клинике ортодонтии типологические особенности зубочелюстных дуг представляют интерес с точки зрения тактики лечебных мероприятий [7, 8]. При этом исследователи уделяли особое внимание выбору брекетов и дуг из различных сплавов металла, обеспечивающих в ходе лечения окклюзионный баланс с учетом индивидуальности жевательного органа. В то же время авторы отмечают, что результаты подобных исследований могут быть полезны при моделировании искусственных зубных дуг в клинике стоматологии ортопедической.
Представлены конкретные методические указания по биометрии альвеолярных дуг беззубых челюстей [9]. Авторами отмечена взаимосвязь размеров лица с альвеолярным отростком верхней челюсти и даны рекомендации по выбору размеров искусственных зубов и зубных дуг в протетических конструкциях. Определены коэффициенты соответствия, позволяющие прогнозировать параметры альвеолярных дуг и сравнивать их с фактическими величинами.
Для построения формы зубочелюстных дуг предложено ориентироваться на дугу Хаулея и различные ее модификации [10]. Однако данный метод основан на размерах четырех резцов, что не позволяет его применение на беззубых челюстях. Так же обращено внимание на положение клыков в зубной дуге с анализом межклыкового расстояния [11]. Оптимальное положение клыков обеспечивает «клыковое ведение» при функционировании жевательного органа и служит критерием эффективности протетического и ортодонтического лечения.
Методы лечения пациентов с дефектами зубных дуг в разных возрастных группах изложены в учебной и научной литературе [12]. Уделено внимание специалистов расположению окклюзионной плоскости [13]. Протетическая плоскость считается основной для постановки искусственных зубов при изготовлении протезов.
Протокольными мероприятиями при протезировании пациентов являются рентгенологические методы, включая анализ нижнечелюстного сустава [14, 15].
Кроме того, телерентгенография позволяет оценить параметры гнатической структуры лица, особенности строения челюстей, выраженность атрофии альвеолярных костей и размеры апикальных базисов.
В то же время мы не встретили сведений об особенностях диагностики одностороннего сужения альвеолярной дуги при полном отсутствии зубов и особенностях протетического лечения указанной патологии, что и определят цель работы.
ЦЕЛЬ РАБОТЫ
Определить особенности диагностики одностороннего сужения верхней альвеолярной дуги и моделирования полных съемных протезов.
МЕТОДИКА ИССЛЕДОВАНИЯ
Диагностика и лечение проводилось с учетом протокола лечения пациентов с полным отсутствием зубов.
Использовались общепринятые хрестоматийные методы кефалометрии, биометрии, рентгенографии с некоторыми модификациями, позволяющими уточнение диагноза.
При анализе типологических особенностей лица и альвеолярных дуг проводили исследования, направленные на возможности моделирования искусственных зубных дуг, в частности, оценивали трузионный тип, позволяющий определить вестибулярно-язычный наклон зубов, диагональные показатели лица, определяющие соразмерность лица с размерами искусственных зубов и параметрами альвеолярных дуг. Использовали коэффициенты соразмерности. Так, для определения диагональных размеров альвеолярных дуг сумму диагоналей лица (трагионально-субназальная величина) делили на коэффициент 2,5.
Глубина верхней альвеолярной дуги была в 2,43 раза меньше глубины лица, измеряемой от субназальной точки до линии, соединяющей трагиональные точки, расположенные в верхнем углублении козелка ушной раковины. Ширину лица делили на коэффициент 2,66 для получения опримальных размеров верхней альвеолярной дуги. Расчетные показатели сравнивали с фактическими размерами и определяли разницу в размерах.
Биометрию альвеолярных дуг проводили на фотографиях моделей при масштабе 1 : 1. Особое место занимало графическое построение оптимальных шаблонов альвеолярных дуг по прогнозируемым размерам, с учетом индивидуальности лицевых параметров. Шаблоны дуг совмещали с фотографиями моделей и оценивали параметры соответствия/несоответствия. Формы альвеолярных дуг обеих челюстей были близки к эллипсоидам, с коротким диаметром, равным ширине альвеолярных дуг, а длинный диаметр для верхней дуги составлял удвоенную величину глубины, на нижней челюсти – трехкратную величины глубины арки. При этом графическая репродукция проходила через центральную точку дуги в переднем секторе, а в заднем отделе – через позадимолярные точки (рис. 1).
Рис. 1. Графическое построение альвеолярных дуг
На полученных снимках оценивали отклонение смещения шаблона оптимальной формы дуги от средней линии альвеолярного гребня.
Кроме этого, фотостатическим методом оценивали особенности диагностических треугольников, стороны которого соединяли центральную точку дуги с позади молярными ориентирами, при этом линия, соединяющая дистальные точки, служила основанием треугольника.
Определение высоты прикуса и центральной окклюзии проводился на жестком базисе с учетом рекомендаций специалистов.
РЕЗУЛЬТАТЫ ИССЛЕДОВАНИЯ И ИХ ОБСУЖДЕНИЕ
При измерении лица было установлено, что его ширина составляла 170 мм, глубина – 112 мм, а сумма диагоналей – 280 мм. При расчете оптимальных параметров верхней альвеолярной дуги определено, что для данного пациента расчетная ширина должна быть 64 мм. Фактическая величина была равна 56 мм, что свидетельствовало о сужении на 8 мм.
Однако при построении диагностических треугольников было обращено внимание на неравномерное расстояние от срединной сагиттали дуги (перпендикуляр от центральной точки к дистальной трансверсали) до ретромолярных точек.
Справа величина составляла 31 мм и была близка к расчетной величине. Слева исследуемый размер был 25 мм, что свидетельствовало об одностороннем сужении верхней альвеолярной дуги (рис. 2).
Рис. 2. Одностороннее сужение верхней альвеолярной дуги
Глубина дуги была близка к расчетным показателям, а размеры диагоналей были различными. Так, справа диагональ была равна 56,5 мм и коррелировала с размерами диагоналей лица.
Слева диагональ дуги составила 53 мм, что на 3,5 мм меньше оптимального размера и свидетельствовала об аномалии формы и размера. Построение диагностического равностороннего треугольника способствовало нормализации величины центрального угла и подчеркивало асимметрию альвеолярной дуги.
Графическое построение оптимальных размеров альвеолярных дуг также свидетельствовало об одностороннем сужении верхней челюсти и оптимальных размерах нижней альвеолярной дуги.
Таким образом, оптимальным методом диагностики одностороннего сужения верхней челюсти при полном отсутствии зубов является построение диагностических треугольников и графических шаблонов с последующим их сопоставлением на фотографиях, сделанных в масштабе 1 : 1.
Данные, полученные путем биометрии моделей челюстей, определили тактику моделирования искусственных зубных дуг при изготовлении протезов.
С учетом рекомендаций специалистов при постановки искусственных зубов ориентировались на среднюю линию альвеолярного гребня, что в последующем обеспечивало равное распределение жевательной нагрузки на кость.
Полученная форма зубной дуги не соответствовала полу эллипсу, что вполне объяснимо индивидуальными особенностями челюсти. Нижняя дуга была близка к оптимальной форме (рис. 3).
Рис. 3. Форма искусственных зубных дуг на протезах
Компенсация окклюзионного статуса осуществлялась изменением вестибулярно-язычного наклона искусственных зубов.
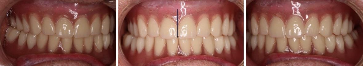
В приведенном примере окклюзионный статус пациента не соответствовал оптимальной норме и характеризовал одностороннюю перекрестную окклюзию со смещением верхних жевательных зубов в язычную (нёбную) сторону (рис. 4).
Рис. 4. Состояние окклюзии после протетического лечения
Несмотря на наличие перекрестной окклюзии при проведении функциональных проб, протезы не балансировали в полости рта и не требовали специальных гелей для улучшения их фиксации.
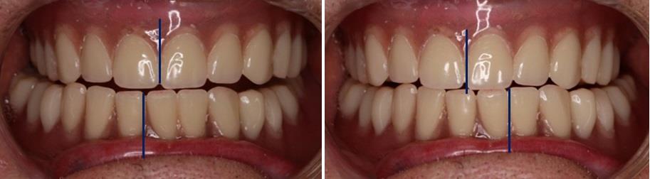
При смещении нижней челюсти в сторону определялось «клыковое ведение» при котором контакт был только на клыках, что характерно для оптимальной окклюзии (рис. 5). Таким образом, проведенное моделирование искусственных зубных дуг в полных съемных протезах при одностороннем сужении верхней челюсти, с учетом индивидуальных особенностей челюстей, показало эффективность предложенных лечебно-диагностических мероприятий.
Рис. 5. Клыковое ведение на полных съемных протезах
ЗАКЛЮЧЕНИЕ
Анализируя полученные сведения в ходе диагностических и лечебных мероприятий, необходимо отметить, что при полном отсутствии зубов встречаются аномалии и деформации альвеолярных дуг беззубых челюстей, что может быть объяснено влиянием врожденных и приобретенных этиологических факторов. Одной из форм патологии может быть одностороннее сужение верхней челюсти при оптимальных размерах нижней челюсти. Наиболее рациональным методом диагностики является биометрия гипсовых моделей методом фотостатического анализа. При этом на фотографию накладываются диагностические фигуры в виде равностороннего треугольника и эллипса, позволяющие определить выраженность и локализацию аномалии. При постановке искусственных зубов целесообразно ориентироваться на токовые значения искусственных жевательных зубов, в ходе моделирования односторонней перекрестной окклюзии, что позволяет компенсаторную нормализацию окклюзионного баланса. Результаты исследования могут быть использованы в клинике протетической стоматологии.
About the authors
Vladimir V. Shkarin
Volgograd State Medical University
Email: vishkarin@mail.ru
ORCID iD: 0000-0001-7158-0282
Doctor of Medical Sciences, Professor
Russian Federation, VolgogradTatyana D. Dmitrienko
Volgograd State Medical University
Author for correspondence.
Email: svdmitrienko@volgmed.ru
ORCID iD: 0000-0002-0935-5575
Candidate of Medical Sciences, Associate Professor
Russian Federation, VolgogradIlya N. Yukhnov
Volgograd State Medical University
Email: ilyuyhnov@bk.ru
Assistant
Russian Federation, VolgogradReferences
- Korobkeev A. A., Domeniuk D. A., Shkarin V. V. Morphological features of the maxillofacial region in people with complete secondary edentulism and various types of constitution. Medicinskiy Vestnik Severnogo Kavkaza = Medical Bulletin of the North Caucasus. 2020;15(2):539–543. (In Russ.).
- Shkarin V. V., Dmitrienko T. D., Kochkonyan T. S. Modern Ideas about the Shape and Size of Human Dentofacial Arches. Vestnik Volgogradskogo medicinskogo universiteta = Journal of Volgograd State Medical University. 2021;80(4):12–19. (In Russ.).
- Shkarin V. V., Dmitrienko T. D., Yagupova V. T. Analysis of Classical and Modern Methods of Biometric Examination of Dentofacial Arches in the Period of Occlusion of Permanent Teeth (Literature Review). Vestnik Volgogradskogo medicinskogo universiteta = Journal of Volgograd State Medical University. 2023;20(1):40–43. (In Russ.).
- Shkarin V. V., Fomin I. V., Dmitrienko T. D. Comparative Analysis of the Results of Various Methods of Biometry of Dental Arches. Volgogradzkiy nauchno-medicinskiy zhurnal = Volgograd Scientific and Medical Journal. 2023;20(1): 40–43. (In Russ.).
- Domenyuk D. A., Lepilin А. V., Fomin I. V., Dmitrienko S. V. Odontometric indices fluctuation in people with physiological occlusion. Archiv EuroMedica. 2018:8(1):12–18.
- Dmitrienko S. V., Domenyuk D. A., Kochkonyan A. S. Interrelation between sagittal and transversal sizes of maxillary dental arches. Archiv EuroMedica. 2014;4(2):10–13.
- Davydov B. N., Porfiriadis M. P., Vedeshina E. G. Features of tactics and principles of orthodontic treatment of patients with asymmetry of dental arches due to a different number of antimers (Part II). Institut stomatologii = Institute of Dentistry. 2018;78(1):70–73. (In Russ.).
- Davydov B. N., Davydov B. N., Vedeshina E. G. Biometric substantiation of the main linear dimensions of dental arches for determining the tactics of orthodontic treatment by the Edgewais technique (Part II). Institut stomatologii = Institute of Dentistry. 2016;71(2):66–67. (In Russ.).
- Dmitrienko S. V., Shkarin V. V., Dmitrienko T. D. Methods of Biometric Study of Dentoalveolar Arches. Volgograd: VolgSMU Publishing House, 2022. 220 p. (In Russ.).
- Klimova N. N., Bavlakova V. V., Sevastyanov A. V. On the Construction of the Haulei Arc. Orthodontiya = Orthodontics. 2011;54(2):11–13. (In Russ.).
- Yaradajkina M. N., Sevastyanov A. V. Canine-nasal coefficient for determining the intercanine distance. Orthodontiya = Orthodontics. 2013;2:38. (In Russ.).
- Klimova N. N., Filimonova E. V., Dmitrienko D. S. Application of Aesthetic Prosthetic Constructions in the Clinic of Pediatric Dentistry. Orthodontiya = Orthodontics. 2007;69(4):25–28. (In Russ.).
- Shkarin V. V., Kochkonyan Т. S., Domenyuk D. A., Dmitrienko S. V. Occlusal plane orientation in patients with dentofacial anomalies based on morphometric cranio-facial measurements. Archiv EuroMedica. 2021;11(1):116–121.
- Domenyuk D. A., Davydov B. N., Vedeshina E. G. Roentgenological and Morphometric Methods in the Complex Assessment of the Cephalo-Odontological Status of Patients of the Dental Profile (Part I). Institut stomatologii = Institute of Dentistry. 2017;75(2):58–61. (In Russ.).
- Domenyuk D. A., Davydov B. N., Vedeshina E. G. Roentgenological and Morphometric Methods in the Complex Assessment of the Cephalo-Odontological Status of Patients of the Dental Profile (Part II). Institut stomatologii = Institute of Dentistry. 2017;76(3):32–35. (In Russ.).
Supplementary files
